"Die Behandlung von Kindern erfordert von uns Zahnärzten mehr Aufmerksamkeit, Geschick und Sorgfalt als bei erwachsenen Patienten. Bis jetzt waren Kronen aus Edelstahl für mich, als Mutter einer Tochter, die einzige und einfachste Möglichkeit für eine funktionelle Versorgung mit minimalen Kosten."
Die meisten Kinder und ihre Eltern waren jedoch sehr enttäuscht von dem "Metall-Look" und der schlechten Ästhetik. Die Eltern wollten sowohl Ästhetik als auch Funktion in einer einzigen Krone.
Für mich bieten die edelweiss PEDIATRIC CROWNs die großartige Möglichkeit, eine perfekte, natürliche und ästhetische Krone mit minimalinvasiven Verfahren zu schaffen, bei denen ich die volle Kontrolle über das Endergebnis habe. Meine Patienten sind nie gestresst und die Eltern sind immer mit dem Ergebnis zufrieden.
Die edelweiss PEDIATRIC CROWN hat alle Qualitäten einer idealen pädiatrischen Krone.
edelweiss PEDIATRIC CROWN
Sonderpreis
Preis
€35,99
Normaler Preis
Einzelpreis
/ pro
inkl. MwSt. zzgl. Versandkosten
edelweiss PEDIATRIC CROWNs
Die edelweiss PEDIATRIC CROWNs werden durch ein innovatives, patentiertes Laserverfahren hergestellt. Dabei werden die Glaskristalle versintert und vitrifiziert, wodurch eine homogene Glaskeramikphase entsteht, die in eine Carbon-Matrix eingebettet ist. Diese biokeramische Zusammensetzung bietet mehrere Vorteile:
-
Biomimetische Mechanik: Das Material ahmt die Eigenschaften natürlicher Zähne nach.
-
Bioästhetisches Erscheinungsbild: Die Kronen zeichnen sich durch eine natürliche, ästhetische Optik aus.
-
Biokompatibilität: Sie sind frei von BIS GMA, BIS EMA und UDMA, was sie besonders verträglich für den Körper macht.
Anatomische Form und hohe Ästhetik
Die anatomischen Profile der edelweiss PEDIATRIC CROWNs gewährleisten eine präzise Nachbildung natürlicher Milchzähne, sowohl im Front- als auch im Seitenzahnbereich. Dank verbesserter physikalischer Eigenschaften können die Kronen direkt als Einzelkronen auf Milchzähnen verwendet werden.
Vorgefertigte, röntgenopake Krone
Die edelweiss PEDIATRIC CROWNs sind vorgefertigte, röntgenopake Kronen, die die anatomische Basis der Zahnschmelzschicht nachbilden. In Kombination mit edelweiss COMPOSITE können sie sowohl für einfache als auch komplexe Restaurationen bei Karies, ob oberflächlich oder tief, verwendet werden.
-
Schutz bis zur natürlichen Exfoliation: Die PEDIATRIC CROWNs bieten Schutz für den Milchzahn bis zu dessen natürlichen Verlust.
-
Funktionelle Unterstützung: Sie erhalten die korrekten okklusalen Kontakte zu den gegenüberliegenden Zähnen und können durch einfache Anpassung der Krone eine optimale Okklusion erreichen. Eine Bearbeitung des gegenüberliegenden natürlichen Zahns ist nicht erforderlich.
Einfache und schnelle Versorgung
Die Versorgung des Zahns mit den PEDIATRIC CROWNs ist unkompliziert und schnell, mit einem bioästhetischen und funktionalen Endergebnis, das sich nahtlos in das natürliche Gebiss einfügt. Die erforderliche Präparation ist minimal und beschränkt sich auf das Ausmaß der Karies. Dies minimiert das Risiko einer iatrogenen Freilegung der Pulpa des Milchzahns.
Zementierung
Die PEDIATRIC CROWNs werden mit demselben Material zementiert, aus dem sie bestehen, was eine stabile Verbindung der gesamten Restauration (Dentin/Schmelz + Komposit + PEDIATRIC CROWN) gewährleistet. Alternativ können die Kronen auch mit herkömmlichem Glasionomerzement oder kunststoffmodifiziertem Glasionomerzement (KGIZ) zementiert werden.
Downloads
-
Gebrauchsanweisung
- Fact Sheet
- Broschüre
- Step by Step
- Indication Guide
- Booklet_Step_by_Step
- Safety Data Sheet
- Übersicht der Zahngrößen
- IAPD Congress 2023
- Dental Tribune PEDIATRIC CROWN Artikel_06_19
Zusammensetzung
- Barium-Silikatglas
- Bis-GMA-basierte Matrix aus Dentalharzen
- Pigmente
- Additive
- Katalysator
Technische Daten
Füllstoffgehalt: 82 Gew. % = 65 Vol. %. Die Variationsbreite der anorganischen Füllstoffpartikel liegt zwischen 0,02-3 µm.
Indikationen
- Front- und Seitenzahnrestaurationen
- Verfärbungen der Milchzähne
- Morphologische Deformitäten
- Angeborene Fehlbildungen der Milchzähne
- Entwicklungsstörungen
- Schlechte Schmelzqualität
- Erhöhte Kariesanfälligkeit
- Restauration der Zähne nach Pulpektomie oder Pulpotomie
- Traumatisch bedingte Milchzahnfrakturen
- Schwerer Bruxismus
- Erosion
Nutzen Sie die linken/rechten Pfeile, um durch die Slideshow zu navigieren, oder wischen Sie nach links bzw. rechts, wenn Sie ein mobiles Gerät verwenden
edelweiss PEDIATRIC CROWNS
«Eine einfache und sichere Behandlung für ein gesundes Kinderlächeln.»
Vorteile
• Natürliche Morphologie zum Schutz der Pulpahörner von Milchzähnen
• Biokompatibel, bioästhetisch und biofunktionell
• Antibakteriell und plaqueresistent
• Frei von Bisphenol A
• Minimal-invasive Präparation bzw. keine Präparation erforderlich
• Exzellenter Halt an der Zahnstruktur
• Bearbeitbarkeit wie natürlicher Zahn
• Die Anpassung kann direkt im Mund erfolgen
• Kann bei teilweise oder vollständig durchgebrochenen Milchzähnen angewendet werden
• Natürliches Abrasionsverhalten, keine Beschädigung der gegenüberliegenden Zähne
• Problemlose Reparatur
• Einfache Handhabung für den Behandler
• Geringerer Zeitaufwand für das Einsetzen der Krone
• Kostensparend
• Vorgefertigt für alle Milchzahngrößen
Das technische Konzept
edelweiss dentistry stellt Ihnen einen bahnbrechenden Fortschritt in der Kinderzahnheilkunde vor, der einen neuen Standard in der zahnmedizinischen Versorgung von Kindern setzt.
Unerreichte Innovation
edelweiss PEDIATRIC CROWNS sind weltweit die ersten ihrer Art und setzen einen neuen Standard für die restaurative Zahnpflege bei Kindern.
Hervorragende Ästhetik
durch Nachahmung der Zahnanatomie für ein natürliches und schönes Lächeln.
Minimalinvasive Behandlung
bei der so viel natürliche Zahnsubstanz wie möglich bei der Restauration erhalten bleibt.
Dieser Ansatz trägt dazu bei, die Beschwerden zu minimieren und die Unversehrtheit der Kinderzähne zu erhalten.
Hervorragende Haltbarkeit
Langlebige Leistung und Widerstandsfähigkeit gegen Abnutzung und Frakturen.
Optimale Passform und Funktion
Maßgefertigt, um einen präzisen Sitz auf dem Zahn des Kindes zu gewährleisten und so Ästhetik und Funktionalität zu verbessern.
Kinderfreundliche Materialien
biokompatibel und frei von Bisphenol A. Hergestellt aus hochwertigen Materialien.
Rationalisiertes Anwendungsverfahren
Benutzerfreundliche Anwendung, um den Zeitaufwand am Behandlungsstuhl zu reduzieren und die Patientenversorgung insgesamt zu verbessern.
Unterstützt von Dental-Experten
edelweiss PEDIATRIC CROWNs werden in Zusammenarbeit mit führenden Zahnärzten entwickelt, um ein Produkt zu gewährleisten, das auf Fachwissen basiert und dem Kinderzahnärzte weltweit vertrauen.
Stärkung der Kinderzahnheilkunde
Durch die Integration von edelweiss PEDIATRIC CROWNs in Ihre Praxis können Sie Ihren Patienten modernste Lösungen anbieten und Ihr Engagement für die beste pädiatrische Zahnpflege unter Beweis stellen.
edelweiss PEDIATRIC CROWNs
bestehen aus lasergesintertem Bariumglas, was sie sowohl hoch antibakteriell als auch plaqueresistent macht. Die edelweiss PEDIATRIC CROWNs sind biokompatibel; sie haben ein natürliches Abrasionsverhalten, daher erfolgt keine Beschädigung der gegenüberliegenden Zähne. Die mesialen und distalen Ränder der edelweiss PEDIATRIC CROWN folgen der natürlichen Zahnfleischlinie der Milchzähne.
Die edelweiss PEDIATRIC CROWN ahmt den natürlichen Milchzahn in Form und Funktion perfekt nach. Die vorkonfektionierte, bioästhetische Morphologie ermöglicht eine schnelle und sichere Versorgung mit maximalen ästhetischen Ergebnissen. Dabei erfolgt die Versorgung in nur einer einzigen Sitzung und minimal-invasiv. Egal für welche Zahnsituation, edelweiss hat dafür die passende Krone.
Beschaffenheit
Die Beschaffenheit von edelweiss PEDIATRIC CROWNs
Barium-Silikatglas: eine einzige Glasphase für optimale Ästhetik
und bessere Haftung an der Zahnsubstanz
Aluminiumoxid: Festigkeit und optische Eigenschaften
Karbon: Widerstandsfähigkeit und Reparierbarkeit
Zinkoxid: antibakteriell (keine Biofilmbildung)
Fluorid: Hydroxyapatit-Regeneration und
antibakterielle Wirkung
REM-Bilder zeigen eine glatte Oberfläche ohne Risse oder Hohlräume
Glatte, glasartige Struktur für lang anhaltenden Glanz ohne Fleckenbildung.
Die edelweiss PEDIATRIC CROWN besteht aus einer homogenen Glasschicht, die fast zu einer Einheit verschmolzen ist. Die Oberflächenstruktur weist keinerlei Hohlräume oder Defekte auf. (Mag = 3.00KX)
Bei stärkerer Vergrößerung sind keine Oberflächenfehler zu erkennen, es gibt keine Hohlräume oder Risse. Dies bedeutet einen lang anhaltenden Glanz und kein Abplatzen oder Ausbreiten von Rissen. (Mag = 7.44KX)
Kein Biofilm oder bakterielles Wachstum auf edelweiss PEDIATRIC CROWNs
Das Vorhandensein von Zinkoxid-Nanopartikeln und Fluorid bekämpft Bakterien und Biofilme auf der Oberfläche und an den Rändern der Zahnrestauration, um Randverfärbungen und Sekundärkaries zu verhindern.
Keine Bakterien- und Biofilmbildung auf edelweiss PEDIATRIC CROWN.
Bakterienwachstum auf dem Komposite (Kontrolle).
Kinderfreundlich
Wir sorgen uns um die Gesundheit unserer Kinder
Wir wissen, wie wichtig die Verwendung sicherer und biokompatibler Materialien für Kinder ist.
edelweiss PEDIATRIC CROWNs werden aus hochwertigen Materialien hergestellt, die speziell ausgewählt wurden, um sicher und schonend für junge Zähne sowie das Zahnfleisch zu sein.
ALLE edelweiss Produkte sind BPA-frei und biokompatibel.
Frei von Bisphenol A
edelweiss PEDIATRIC CROWN ist frei von Bis-GMA & Bis-EMA.
Biologisch nachhaltig
Die weltweit erste biologisch nachhaltige Kinderkrone.
edelweiss PEDIATRIC CROWNs sind nicht toxisch
Toxizitätsstudien durchgeführt an:
Menschlichen Stammzellen
Intrakutaner Reaktivitätstest (ISO 10993-23:2021)
Nicht reizend für die Haut oder Schleimhaut
Hautsensibilisierungstest (ISO 10993-10:2021)
Wir sorgen für unseren Planeten
edelweiss PEDIATRIC CROWN ist ein sicheres Produkt und entspricht dem weltweiten Trend, die erste Kinderkorne zu sein, die BPA-frei und biologisch nachhaltig ist.
Größen
Eine Größe für alle
Basierend auf einer Studie aller Formen und Größenvariationen der natürlichen Zahnanatomie wurden vorgefertigte und konturierbare Universal-PEDIATRIC CROWN-Formen für den Ober- und Unterkiefer in den folgenden Größenbereichen (Small, Medium, Large) entwickelt.
Die Auswahl
Die Auswahl der Zahnform erfolgt mit der verfügbaren Schablone (edelweiss PEDIATRIC CROWN Sizing Guide).
Der Schablone wird über die zu restaurierenden Zähne gelegt, wobei das sichtbare Profil die richtige Auswahl der am besten passenden edelweiss PEDIATRIC CROWN ermöglicht. Anpassungen können direkt auf der Schablone sichtbar gemacht werden.
Sizing Guides PEDIATRIC CROWN
Small
Medium
Large
XLarge
Small
Medium
Large
XLarge
Farbspektrum
edelweiss Shade Guide
edelweiss PEDIATRIC CROWNs bestehen aus der Farbe Enamel - Vita Enamel AO. Die jeweiligen Dentin- und Schmelzfarben, die zur Befestigung der edelweiss PEDIATRIC CROWN verwendet werden, bestimmen den endgültigen Farbton der Restauration.
Farbwahl
Platzieren Sie die Schmelz-VENEER-Schale (gleiche Farbe wie PEDIATRIC CROWN) über dem Dentinkern. Zur Lichtbrechung zuerst Glyzerin in die Schmelzschale geben.
Natural Layering Technique
Das Konzept wurde 1995 von Prof. Dr. D. Dietschi publiziert und 1997 zum ersten Mal veröffentlicht. Es basiert auf der Idee, eine Synthese zwischen Licht, Material und Farbe zu schaffen, um die natürliche Zahnstruktur zu imitieren.
edelweiss COMPOSITE rekonstruiert Zähne mit zwei zahnähnlichen Massen, die mit dem Vita Dentin und Schmelz vergleichbar sind...
5 x Dentin
Ein Opazitätsgrad – gleiche Farbe, aber verschiedene Farbsättigungsstufen - Fluoreszenz. Von Dentin A0, für die Restauration gebleichter Zähne bis Dentin A3,5 für zervikale
Restaurationen dunkler Zähne bei älteren Patienten.
Dentinmassen weisen eine hohe Opazität und Fluoreszenz auf, welche den natürlichen Dentinnuancen entsprechen.
1 x Enamel
Enamel Shade intensiviert die Opaleszenz für alle optischen Variationen, welche in natürlichen Zähnen existiert.
Basistönung:
Enamel
3 x Effect Shades
Effect Blue dient der Steigerung von blau-opaleszenten Effekten der Inzisalkante.
Opaque White wird überwiegend in der Kombination mit anderen Farben angewendet, um “opaquers” der gewünschten Farbe zu produzieren. Hiermit ist es möglich, stark verfärbtes Gewebe oder Metall abzudecken.
Farben: Effect Blue, Effect Ice,
Opaque White
edelweiss Shade System
edelweiss PEDIATRIC CROWN besitzen die Farbbezeichnung Enamel - Vita Enamel AO.
Die jeweilige Dentin- oder Schmelzfarbe, die zur Zementierung der edelweiss PEDIATRIC CROWN eingesetzt wird, bestimmt den finalen Farbton.
Bsp.: edelweiss PEDIATRIC CROWN (Vita enamel shade A0) mit der Dentinmasse A3 (Vita Dentin A3) zementiert, ergibt in Kombination die Farbe Vita A3.
Vorbereitung von PEDIATRIC CROWN - Step by Step
edelweiss PEDIATRIC CROWN für alle klinischen Situationen.
Um die Approximalflächen zu vergrößern, die Oberfläche der PEDIATRIC CROWN mit einem Diamantbohrer anrauen.
Entfernen der Schmierschicht mit 37 %iger Phosphorsäure, spülen und verblasen.
Bonding mit edelweiss Direct Veneer Bond. Dieses Adhäsiv ist mit allen edelweiss-Produkten kompatibel.
Lichthärten des Direct Veneer Bond für 20 Sek. (VALO-Polymerisationsleuchte).
Aufbau der Approximalfläche mit edelweiss Direct Composite. Dies ist das gleiche Komposit, das auch für das intraorale Zementieren der PEDIATRIC CROWNS verwendet wird.
Lichthärten des Kompositaufbaus für 30 Sek.
Polieren mit Spezialpolierern: mit grün beginnen, danach grau für Hochglanz verwenden.
Demonstrations Videos
Reparierbarkeit
Klinische Fallstudie - Step by Step
Legen eines Retraktionsfadens nach erfolgter Kariesexkavation.
Schmelz für 15 Sek., Dentin für 7 Sek. ätzen. Gründlich spülen.
Bonden der Innenseite der PEDIATRIC CROWN mit VENEER BOND, lichthärten für 20 Sek.
In das Innere der edelweiss PEDIATRIC CROWN appliziertes edelweiss COMPOSITE.
Einsetzen der edelweiss PEDIATRIC CROWN.
edelweiss PEDIATRIC CROWN in situ, überschüssiges Komposit entfernt.
Lichthärten für 30 Sek.
Finieren
Polieren
Mechanische Eigenschaften und Vorteile
• Imitiert die natürliche Form und Funktion
• Bioästhetische Morphologie
• Schnelle, einfache und sichere Behandlung
• Optimale ästhetische Ergebnisse
• Mesialer und distaler Rand folgt der natürlichen Zahnfleischlinie
• Antibakteriell und äußerst plaqueresistent
• Biokompatibel, natürliches Abrasionsverhalten
• Keine Schäden an den antagonistischen Milchzähnen
• Zeitsparend, minimal-invasive Präparation bzw. keine Präparation erforderlich
• Nicht-/minimal-invasiv, schützt die Zahnstruktur
• Reparierbar im Mund
• Kann individualisiert werden
Technische Daten
|
--> PEDIATRIC CROWN |
N.-H. Composite |
N.-H. Flowable Composite |
|
|---|---|---|---|
| Biegefestigkeit | 200 MPa | 150 MPa | 120 MPa |
| Druckfestigkeit | 550 MPa | 480 MPa | 350 MPa |
| Biegemodul | 20 GPa | 12.5 (dentin) - 16 GPa (enamel) | 6 GPa |
| Oberflächenhärte | 100 HV | 80 HV | 68 HV |
| Polymerisationsschrumpfung | - | 2,50 % | N.V. |
(Quelle: Interne Daten von edelweiss Dentistry)
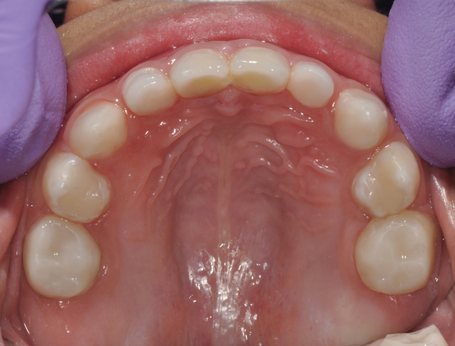
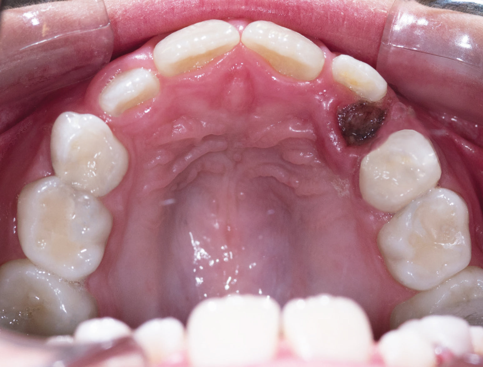
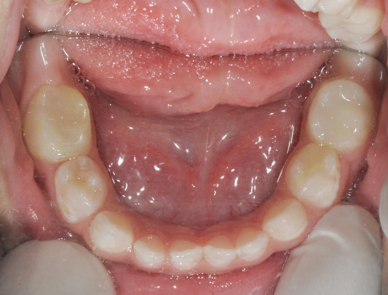
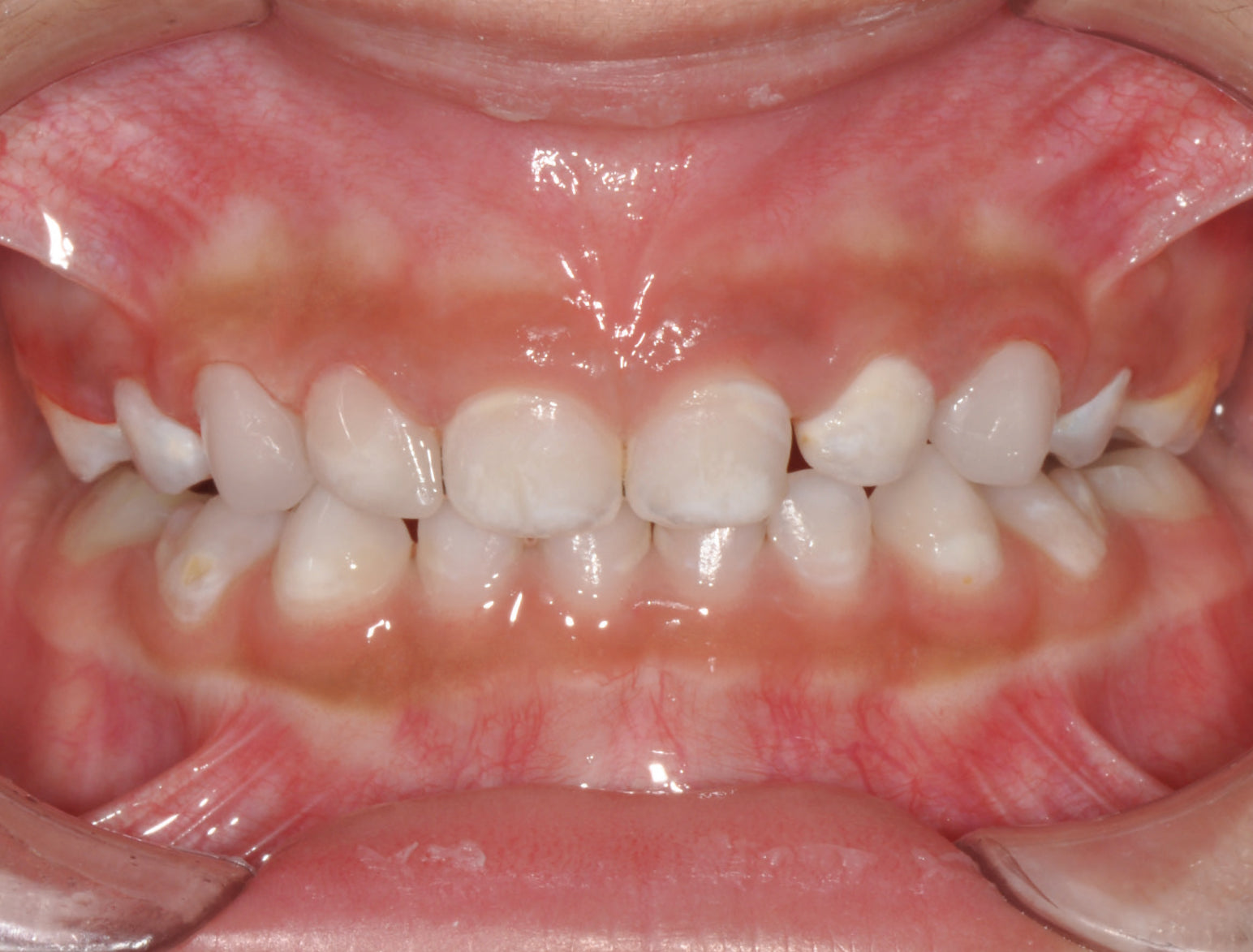
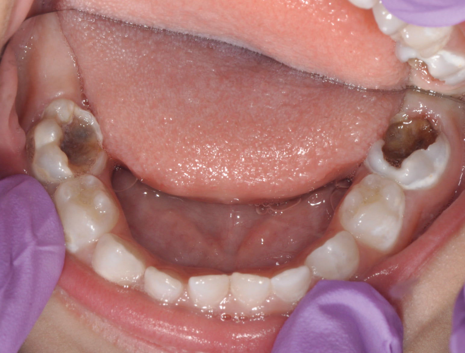
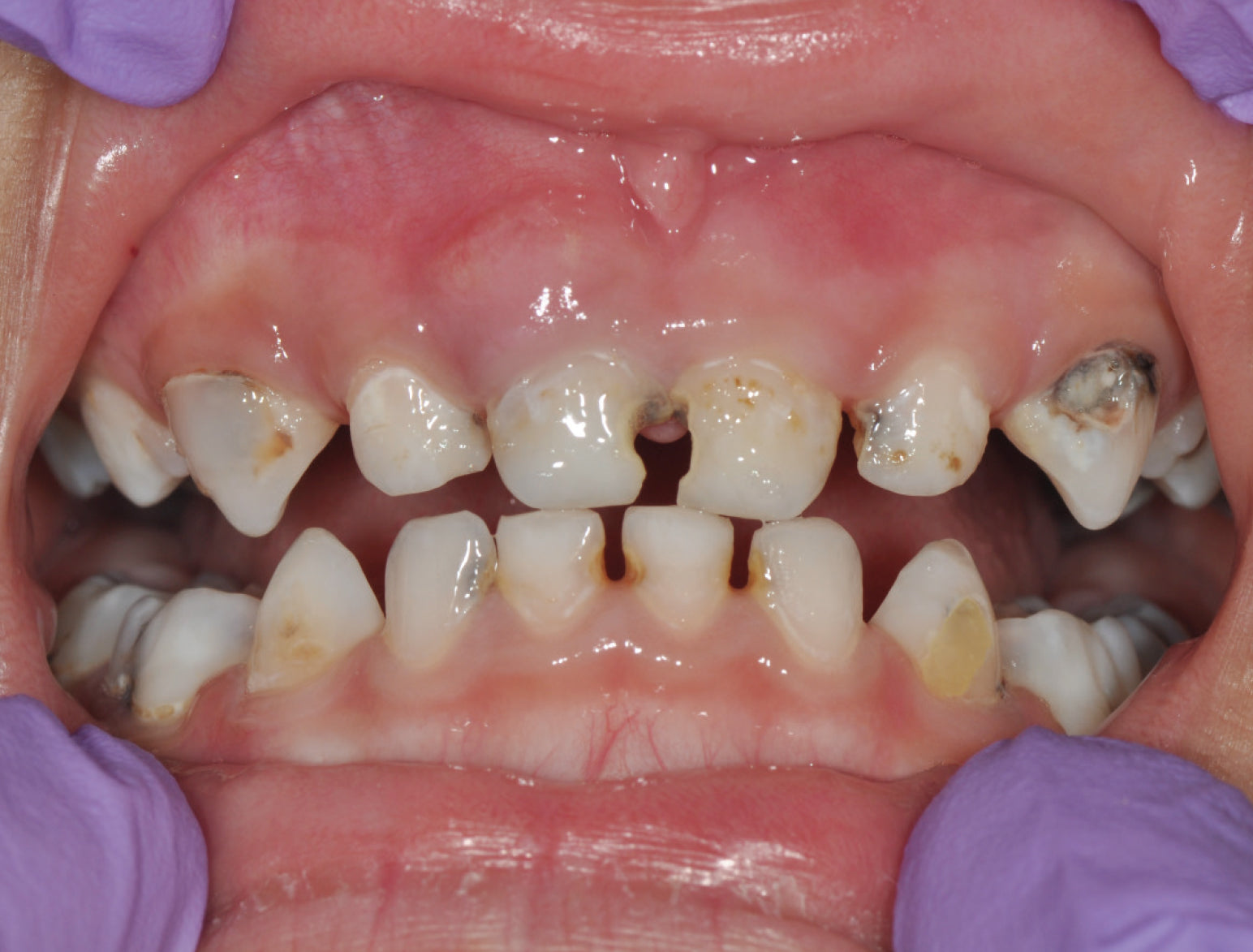
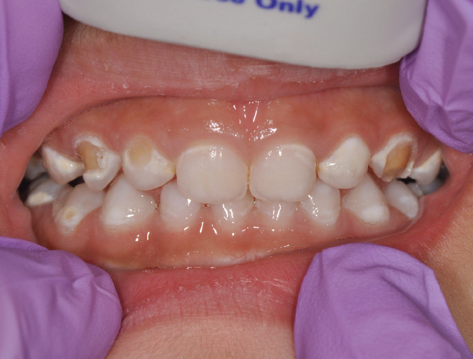
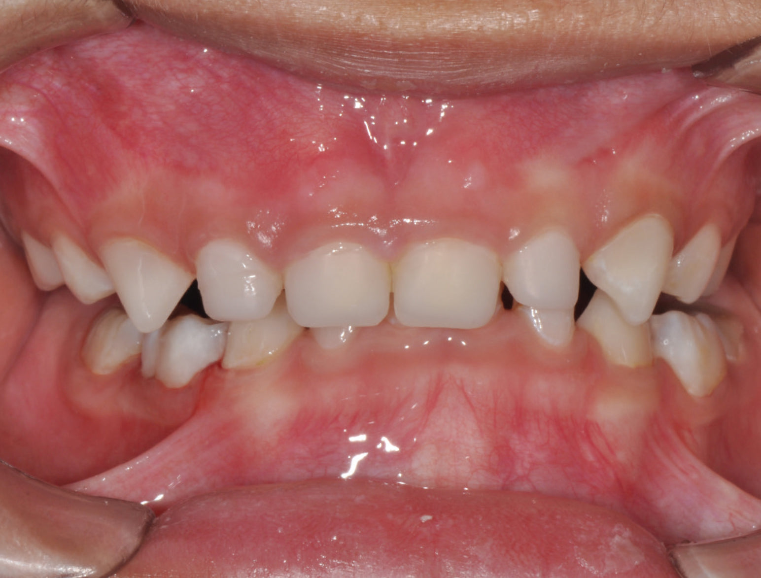
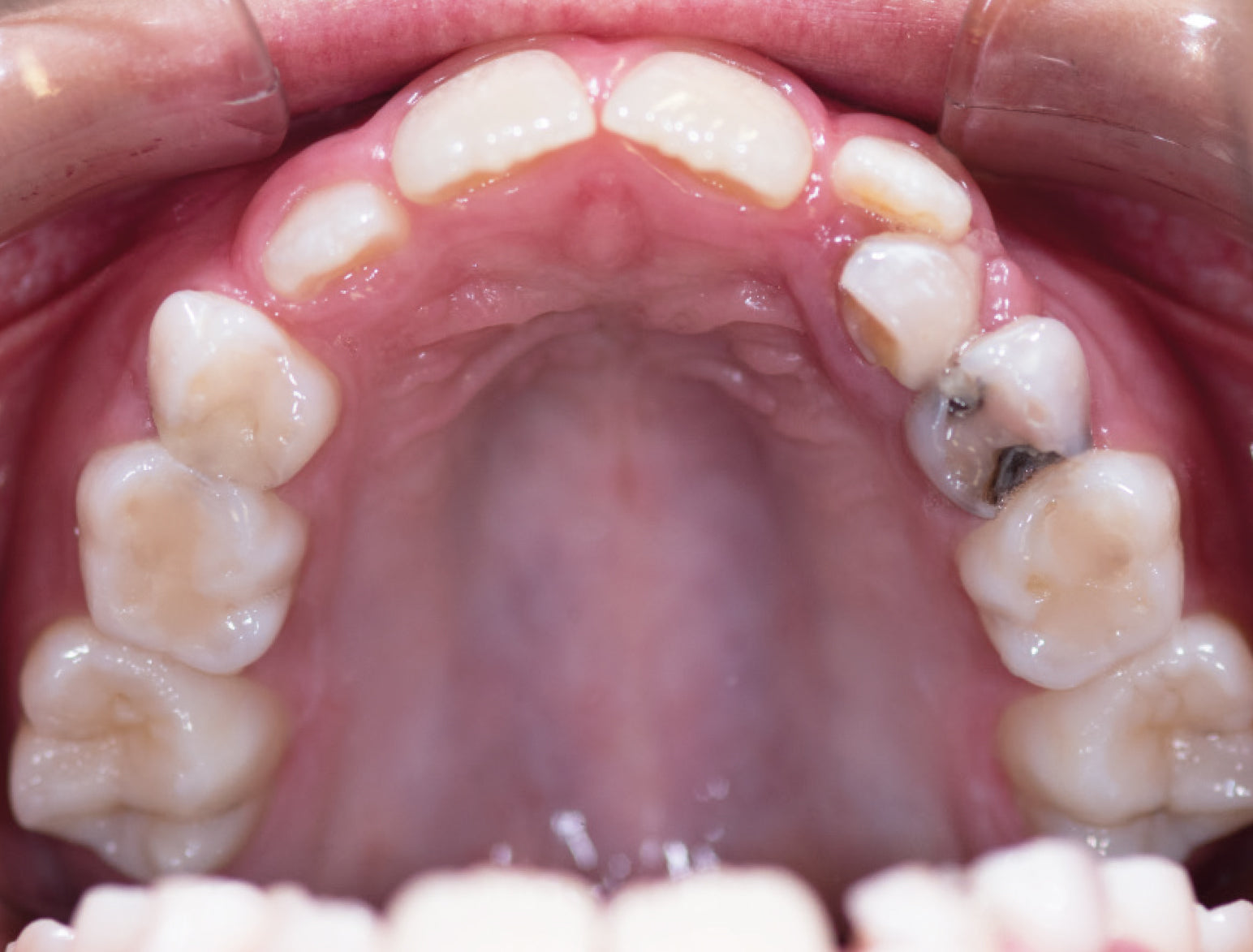
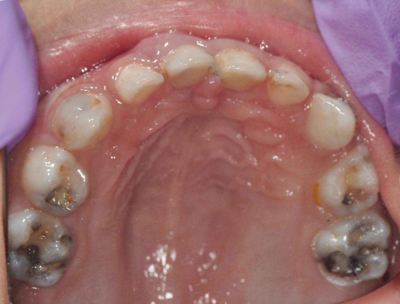
PEDIATRIC CROWN Patientenfälle - Vorher/Nachher
Vorher
Nachher
Vorher
Nachher
Vorher
Nachher
Vorher
Nachher
Vorher
Nachher
